
カリエールモーションとは?
カリエールモーションは、ブラケットやアライナー治療の前準備として使用する装置です。


全ての歯を動かす前に、犬歯から奥歯までを正しい位置関係にする事で効率的な治療が可能になります。また同様の効果を持つ他の装置に比べて構造がシンプルなため、違和感が少ない事も特徴です。当初は上顎前突(出っ歯)のかみ合わせのために開発され、金属色の装置でしたが、今では透明タイプあり、目立たずにカリエールモーションでの治療ができるようになりました。また、下顎前突(受け口)用の装置も開発され、適応範囲が広がっています。
治療期間の効率化が可能

適応するケースで、カリエールモーションを使用した場合は、アライナー単独の矯正に比べ1年以上の治療期間の短縮が期待できます。
治療の流れ
1ヶ月に約1mmの改善が目安となりますが、患者様の症状によって異なります。また、上下にかけるゴムの力を利用して動かしていますので、患者様の協力度によってその期間が左右されます。装着期間は3~6ヶ月程度の見込みです。次の症例は実際の一例です。
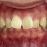
Before Braces - 治療前 -

犬歯と第一大臼歯のⅡ級関係が見られます。
また、前歯に過度なジェットが見られます。
After Motion 3D Appliance - カリエールモーション装着 -

上顎の犬歯と第一大臼歯に、カリエールモーションを接着。
下顎の第一大臼歯には、チューブを接着。
なお下顎は固定源として一塊にするため、アライナー(硬めのクリアリテーナー/スプリント用のシートで製作したマウスピースなど)を装着します。
※この時、リンガルアーチを選択する場合もあります
After Motion 3D Appliance 12Weeks - カリエールモーション装着3ヶ月経過 -

カリエールエラスティックを使用し、3か月経過の状態。
第一大臼歯と犬歯の咬合関係にリラップスを想定したオーバーコレクションが見られます。
After Bracket - ブラケット装着4ヶ月経過 -

カリエールモーションをはずしたその日に、ブラケットとワイヤーを装着し、4か月経過の状態です。当院ではここでは主にインビザラインを使用します。
After Braces - 治療終了時 -

治療の終了にて、ブラケット除去直後の状態。
臼歯と犬歯の咬合関係がⅠ級に仕上がっている状態が見られます。
さいわいデンタルクリニックでは、このようにインビザライン単独だけでは成しえない、安全・短期間の矯正治療を行っております。
カリエールモーションについてもお気軽にご相談ください。




 
                         
                         
                         
                        



