DENTAL ACADEMY
治療全般
大人の矯正
子供の矯正
大人の症例
子供の症例
ホワイトニング/クリーニング
セラミック治療
ダイレクトボンディング
自費義歯
治療全般
大人の矯正
子供の矯正
大人の症例
子供の症例
ホワイトニング/クリーニング
セラミック治療
ダイレクトボンディング
自費義歯
ホーム
叢生
叢生の記事一覧
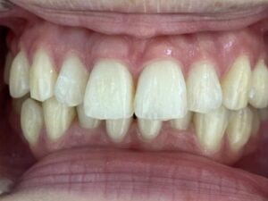
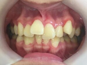
大人の症例
インビザライン治療 症例
2023.03.28
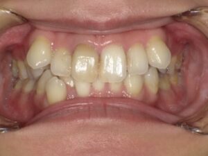
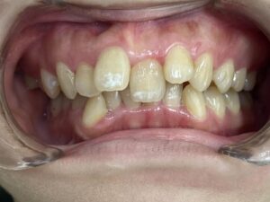
大人の症例
インビザライン治療 症例
2023.03.27
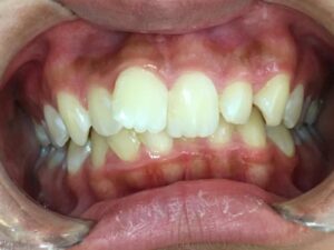
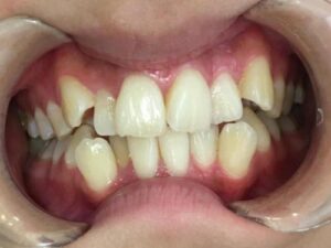
大人の症例
インビザライン治療 症例
2023.03.27
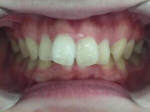
大人の症例
インビザライン治療 症例
2023.03.25
大人の症例
インビザライン治療 症例
2023.03.25
大人の症例
インビザライン治療 症例
2023.03.24
大人の症例
インビザライン治療 症例
2023.03.24
大人の症例
インビザライン治療 症例
2023.03.17
大人の症例
インビザライン治療 症例
2023.03.17
大人の症例
インビザライン治療 症例
2023.03.17
1
…
4
5
6
7
8
9
タグ
翼状捻転
(3)
切端咬合
(3)
出っ歯
(6)
捻転
(9)
上顎前突
(17)
叢生
(86)
顎関節症
(4)
すきっ歯
(3)
pickup
(34)
反対咬合
(5)
正中離開
(2)
義歯
(2)
先天性欠損
(3)
上下顎前突
(3)
過蓋咬合
(10)
口蓋側転移
(3)
クロスバイト
(2)
矯正
(105)
歯周病
(1)
八重歯
(11)
交叉咬合
(8)
人気記事ランキング
まだデータがありません。
治療全般
大人の矯正
子供の矯正
大人の症例
子供の症例
ホワイトニング/クリーニング
セラミック治療
ダイレクトボンディング
自費義歯