DENTAL ACADEMY
治療全般
大人の矯正
子供の矯正
大人の症例
子供の症例
ホワイトニング/クリーニング
セラミック治療
ダイレクトボンディング
自費義歯
治療全般
大人の矯正
子供の矯正
大人の症例
子供の症例
ホワイトニング/クリーニング
セラミック治療
ダイレクトボンディング
自費義歯
ホーム
叢生
叢生の記事一覧
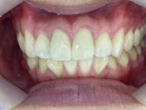
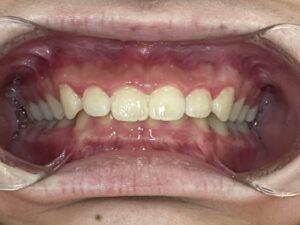
大人の症例
インビザライン治療 症例
2023.07.15
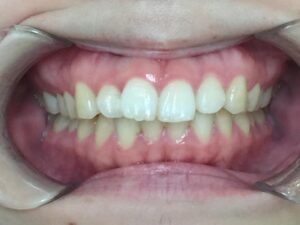
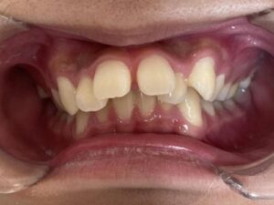
大人の症例
インビザライン治療 症例
2023.07.01
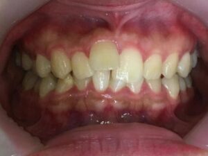
大人の症例
インビザライン治療 症例
2023.07.01
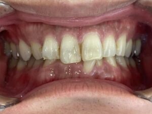
大人の症例
インビザライン治療 症例
2023.07.01
セラミック治療
インビザライン矯正と自費補綴 症例
2023.05.16
大人の症例
インビザライン治療 症例
2023.05.16
子供の症例
小児矯正 症例
2023.04.26
大人の症例
インビザラインGO治療 症例
2023.04.25
大人の症例
インビザライン治療 症例
2023.04.18
大人の症例
インビザライン治療 症例
2023.04.18
1
2
3
4
5
6
7
8
9
タグ
義歯
(2)
正中離開
(2)
出っ歯
(6)
叢生
(86)
切端咬合
(3)
上下顎前突
(3)
過蓋咬合
(10)
交叉咬合
(8)
顎関節症
(4)
矯正
(105)
クロスバイト
(2)
先天性欠損
(3)
歯周病
(1)
口蓋側転移
(3)
pickup
(34)
すきっ歯
(3)
翼状捻転
(3)
上顎前突
(17)
八重歯
(11)
捻転
(9)
反対咬合
(5)
人気記事ランキング
まだデータがありません。
治療全般
大人の矯正
子供の矯正
大人の症例
子供の症例
ホワイトニング/クリーニング
セラミック治療
ダイレクトボンディング
自費義歯