DENTAL ACADEMY
治療全般
大人の矯正
子供の矯正
大人の症例
子供の症例
ホワイトニング/クリーニング
セラミック治療
ダイレクトボンディング
自費義歯
治療全般
大人の矯正
子供の矯正
大人の症例
子供の症例
ホワイトニング/クリーニング
セラミック治療
ダイレクトボンディング
自費義歯
ホーム
交叉咬合
交叉咬合の記事一覧
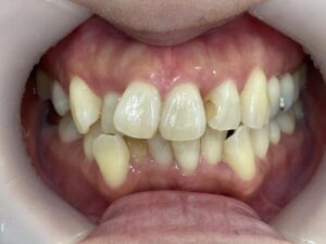
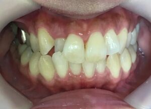
大人の症例
インビザライン治療 症例
2023.09.06
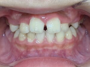
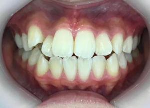
大人の症例
インビザライン治療 症例
2023.07.20
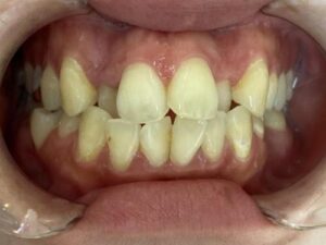
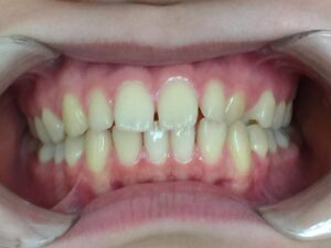
大人の症例
インビザライン治療GO 症例
2023.07.20
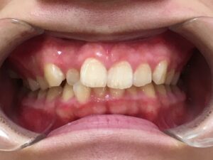
大人の症例
インビザライン治療 症例
2023.07.01
大人の症例
インビザライン治療 症例
2023.03.24
大人の症例
インビザライン治療 症例
2023.03.08
子供の症例
小児矯正 症例
2023.01.18
大人の症例
インビザライン治療 症例
2022.12.09
タグ
翼状捻転
(3)
pickup
(34)
切端咬合
(3)
クロスバイト
(2)
八重歯
(11)
口蓋側転移
(3)
出っ歯
(6)
義歯
(2)
歯周病
(1)
反対咬合
(5)
捻転
(9)
上顎前突
(17)
上下顎前突
(3)
先天性欠損
(3)
交叉咬合
(8)
矯正
(105)
過蓋咬合
(10)
すきっ歯
(3)
正中離開
(2)
顎関節症
(4)
叢生
(86)
人気記事ランキング
まだデータがありません。
治療全般
大人の矯正
子供の矯正
大人の症例
子供の症例
ホワイトニング/クリーニング
セラミック治療
ダイレクトボンディング
自費義歯