DENTAL ACADEMY
治療全般
大人の矯正
子供の矯正
大人の症例
子供の症例
ホワイトニング/クリーニング
セラミック治療
ダイレクトボンディング
自費義歯
治療全般
大人の矯正
子供の矯正
大人の症例
子供の症例
ホワイトニング/クリーニング
セラミック治療
ダイレクトボンディング
自費義歯
ホーム
ホワイトニング/クリーニング
ホワイトニング/クリーニング
ホワイトニング/クリーニング
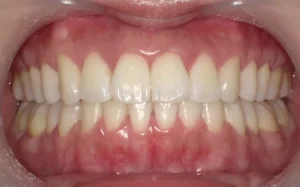
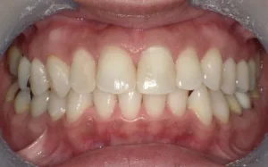
ホワイトニング 症例
2024.02.17
ホワイトニング/クリーニング
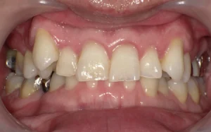
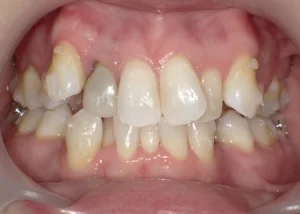
ホワイトニング 症例
2023.10.20
ホワイトニング/クリーニング
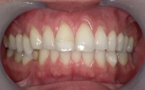
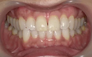
ホワイトニング 症例
2023.10.20
ホワイトニング/クリーニング
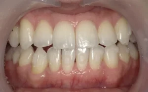
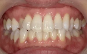
ホワイトニング 症例
2023.09.22
ホワイトニング/クリーニング
ホワイトニング 症例
2023.09.22
ホワイトニング/クリーニング
ホワイトニング 症例
2023.07.15
ホワイトニング/クリーニング
ホワイトニング 症例
2023.07.01
ホワイトニング/クリーニング
ホワイトニング 症例
2023.05.25
ホワイトニング/クリーニング
ホワイトニング 症例
2023.05.25
ホワイトニング/クリーニング
ホワイトニング 症例
2023.05.25
1
2
3
4
タグ
顎関節症
(4)
矯正
(105)
叢生
(86)
捻転
(9)
正中離開
(2)
交叉咬合
(8)
翼状捻転
(3)
クロスバイト
(2)
出っ歯
(6)
上下顎前突
(3)
八重歯
(11)
口蓋側転移
(3)
先天性欠損
(3)
pickup
(34)
歯周病
(1)
義歯
(2)
上顎前突
(17)
反対咬合
(5)
過蓋咬合
(10)
すきっ歯
(3)
切端咬合
(3)
人気記事ランキング
まだデータがありません。
治療全般
大人の矯正
子供の矯正
大人の症例
子供の症例
ホワイトニング/クリーニング
セラミック治療
ダイレクトボンディング
自費義歯