DENTAL ACADEMY
治療全般
大人の矯正
子供の矯正
大人の症例
子供の症例
ホワイトニング/クリーニング
セラミック治療
ダイレクトボンディング
自費義歯
治療全般
大人の矯正
子供の矯正
大人の症例
子供の症例
ホワイトニング/クリーニング
セラミック治療
ダイレクトボンディング
自費義歯
ホーム
saiwai-dental
saiwai-dentalの記事一覧
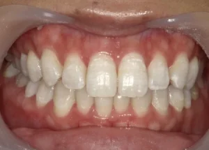
子供の症例
小児矯正 症例
2023.02.01
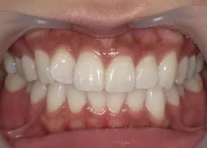
子供の症例
小児矯正 症例
2023.02.01
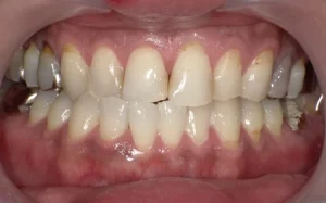
ホワイトニング/クリーニング
ホワイトニング 症例
2023.02.01
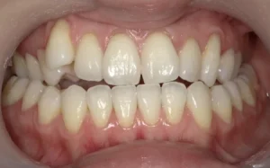
ホワイトニング/クリーニング
ホワイトニング 症例
2023.02.01
ホワイトニング/クリーニング
ホワイトニング 症例
2023.02.01
ホワイトニング/クリーニング
ホワイトニング 症例
2023.02.01
ホワイトニング/クリーニング
ホワイトニング 症例
2023.02.01
大人の症例
インビザライン治療 症例
2023.02.01
大人の症例
インビザライン治療 症例
2023.01.18
大人の症例
インビザライン治療 症例
2023.01.18
1
…
13
14
15
16
17
18
19
20
タグ
歯周病
(1)
すきっ歯
(3)
切端咬合
(3)
義歯
(2)
pickup
(34)
過蓋咬合
(10)
正中離開
(2)
捻転
(9)
矯正
(105)
クロスバイト
(2)
顎関節症
(4)
八重歯
(11)
翼状捻転
(3)
上下顎前突
(3)
上顎前突
(17)
出っ歯
(6)
先天性欠損
(3)
反対咬合
(5)
交叉咬合
(8)
叢生
(86)
口蓋側転移
(3)
人気記事ランキング
まだデータがありません。
治療全般
大人の矯正
子供の矯正
大人の症例
子供の症例
ホワイトニング/クリーニング
セラミック治療
ダイレクトボンディング
自費義歯