DENTAL ACADEMY
治療全般
大人の矯正
子供の矯正
大人の症例
子供の症例
ホワイトニング/クリーニング
セラミック治療
ダイレクトボンディング
自費義歯
治療全般
大人の矯正
子供の矯正
大人の症例
子供の症例
ホワイトニング/クリーニング
セラミック治療
ダイレクトボンディング
自費義歯
ホーム
saiwai-dental
saiwai-dentalの記事一覧
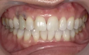
大人の症例
インビザライン治療 症例
2023.04.05
大人の症例
インビザライン治療 症例
2023.04.05
大人の症例
インビザライン治療 症例
2023.04.05
大人の症例
インビザライン治療 症例
2023.04.05
大人の症例
インビザライン治療 症例
2023.04.05
大人の症例
インビザライン治療 症例
2023.03.29
大人の症例
インビザライン治療 症例
2023.03.29
大人の症例
インビザライン治療 症例
2023.03.29
大人の症例
インビザライン治療 症例
2023.03.28
ホワイトニング/クリーニング
ホワイトニング 症例
2023.03.28
1
…
9
10
11
12
13
14
15
…
20
タグ
叢生
(86)
歯周病
(1)
翼状捻転
(3)
交叉咬合
(8)
矯正
(105)
捻転
(9)
過蓋咬合
(10)
顎関節症
(4)
正中離開
(2)
すきっ歯
(3)
反対咬合
(5)
切端咬合
(3)
出っ歯
(6)
先天性欠損
(3)
pickup
(34)
口蓋側転移
(3)
上下顎前突
(3)
上顎前突
(17)
クロスバイト
(2)
八重歯
(11)
義歯
(2)
人気記事ランキング
まだデータがありません。
治療全般
大人の矯正
子供の矯正
大人の症例
子供の症例
ホワイトニング/クリーニング
セラミック治療
ダイレクトボンディング
自費義歯