
10代女性「上下のガタガタが気になる」前歯の矯正治療に適したマウスピース型装置「インビザラインGo」を使って、歯並びをきれいに整え噛み合わせも改善した症例


ご相談内容
「上下のガタガタが気になる」とご相談いただきました。
カウンセリング・診断結果
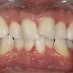
拝見したところ、上下前歯(左右中切歯/1番、側切歯/2番、犬歯/3番)にはガタガタに並ぶ「叢生(そうせい)」が見られました。
また右上下の側切歯には、上下が反対に噛み合う「交叉咬合」も見られました。
奥歯の噛み合わせは特に問題がない状態でした。
行ったご提案・治療内容
マウスピース型矯正装置「インビザラインGo」での治療をご提案しました。
歯並びの乱れが前歯のみのため、前歯を動かすことに特化したインビザラインGoで治療期間や費用を抑えて治療できることをご説明し、同意をいただきました。
ガタガタな並びや交叉咬合の治療だけではなく、理想的な上下犬歯の噛み合わせ位置への改善も目指しました。
術後の経過・現在のご様子
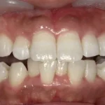
歯並びはきれいなアーチ状になり、正常な噛み合わせになりました。
後戻りもなく、経過は良好です。
患者様には「気になるところがなくなりました」と大変ご満足いただけました。
現在は、定期的に経過を確認しています。
この治療のリスクについて
・決められたアライナーの装着時間を守らないと、次のアライナーに交換できず、治療が遅れたり十分な効果が得られない場合があります。
・歯を抜いた後に矯正する場合や、あごの骨格に問題がある場合など、マウスピース矯正に対応していない症例は、治療が困難な可能性もあります。
・治療による歯の移動に伴って、痛みや違和感を感じる場合があります。
・他の矯正治療と同様に、正しく歯磨きやメンテナンスを行わないと虫歯や歯周病のリスクが高まります。
- 年齢・性別10代女性
- 診療種別自由診療
- 治療期間の目安8ヶ月
治療費総額の目安425,000円
- 治療期間の目安8ヶ月


※掲載された情報は治療の効果を保証するものではありません。
ご利用により万一何らかの損害が発生したとしても、当サイトは一切責任を負いかねますのでご了承ください。








