
歯周病
歯磨き粉や歯ブラシのCMなどで良く耳にする【歯周病】ですが、
その原因や体に及ぼす影響についてご存知ですか?
実は歯周病と全身疾患との関連性については、以前より考えられていました。
口の中で発症している病気が全身の病気に関わるなんて・・と思いますよね。今回は歯周病が与える全身への影響についてご説明していきます。
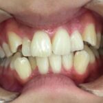
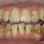
歯周病の原因となるのは口腔内に存在する400~700種類の細菌です。歯周病が進行している方に見られる大きな特徴は、歯垢と呼ばれる細菌の塊が多く歯に付着していることです。歯垢の中には約10億個の細菌がいることも分かっており、歯や歯茎へ良い影響を与えることはありません。歯垢は日常生活の中で発生する磨き残しなどが影響で発生します。初期の段階であればフロスや歯磨きで処理することができますが、歯ブラシやフロスは完璧に汚れを落としてくれるわけではありません。歯科医院でプロの手による定期的なお掃除が必要になります。定期的にクリーニングをおこなっている方は歯周病に罹患するのを予防することができますが、長年歯医者さんに行っていない方は口腔内で細菌が繁殖し歯周病が進行している可能性があります。

全身疾患
歯周病が関係する全身疾患は以下の通りです。
■認知症
■インフルエンザ
■心筋梗塞
■骨粗鬆症
など多岐にわたります。
いずれも歯周病が直接関係するわけではありませんが、歯周病によって発症や進行を進める場合があります。
直接的に体に関わらないからと歯医者さんに行くのを後回しにする方が多いですが、
お口の健康は実は全身の健康に繋がります。特に30代以上の方は歯周病になっている確率が非常に高いため、検診をかねて一度歯医者さんに診てもらいましょう。









