
30代女性「前歯で物が噛み切れない」上下の前歯が噛み合わずに隙間ができる「開咬」を、マウスピース型矯正装置「インビザラインフル」でしっかり噛み切れる状態へと改善した症例


ご相談内容
「前歯で物が噛み切れない」とご相談いただきました。
カウンセリング・診断結果
拝見したところ、上下の奥歯を噛み合わせた時に前歯が噛み合わず隙間ができる「開咬」で、物を噛み切ることが難しい状態でした。
また、上の左右前歯2本(中切歯/1番)は、スペースが足りずに捻じれて生えた「捻転(ねんてん)」も見られました。
行ったご提案・治療内容
取り外し式のマウスピース型矯正装置「インビザラインフル」をご提案しました。
インビザラインフルによる治療で奥歯からしっかり歯を動かす必要があることや、抜歯をせずに治療ができることをご説明し、同意いただきました。
治療の際は、噛み合わせだけでなく前歯の捻れも同時に改善できるよう努めました。
術後の経過・現在のご様子
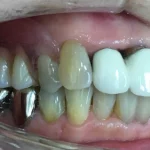
上下の前歯はしっかり噛み合うようになりました。
前歯の捻れも改善され、とてもきれいな歯並びになりました。
治療途中で転勤になられ来院頻度は減りましたが、患者様のご協力のもとしっかりと治療を進めることができました。
患者様からは「前歯で物が噛み切れるようになって嬉しい」と大変喜んでいただけました。
現在は、定期的なメンテナンスにて経過の確認をしています。
この治療のリスクについて
・決められたアライナーの装着時間を守らないと、次のアライナーに交換できず、治療が遅れたり十分な効果が得られない場合があります。
・歯を抜いた後に矯正する場合や、あごの骨格に問題がある場合など、マウスピース矯正に対応していない症例は、治療が困難な可能性もあります。
・治療による歯の移動に伴って、痛みや違和感を感じる場合があります。
・他の矯正治療と同様に、正しく歯磨きやメンテナンスを行わないと虫歯や歯周病のリスクが高まります。
- 年齢・性別30代女性
- 診療種別自由診療
- 治療期間の目安2年半
治療費総額の目安665,000円
- 治療期間の目安2年半


※掲載された情報は治療の効果を保証するものではありません。
ご利用により万一何らかの損害が発生したとしても、当サイトは一切責任を負いかねますのでご了承ください。








