
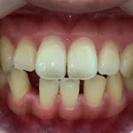
30代女性「前歯のガタガタが気になる」歯が重なり合って生えている「叢生」を、前歯のみを動かすマウスピース型矯正装置「インビザラインGO」で美しい口元に改善した症例


ご相談内容
「前歯のガタガタが気になる」とご相談いただきました。
カウンセリング・診断結果
拝見したところ、重なり合って生えている「叢生(そうせい)」が上下の前歯に見られました。
奥歯の歯並びと噛み合わせに問題はありませんでした。
また、全体的に歯に黄ばみがあり、口元が暗い印象でした。
行ったご提案・治療内容
歯並びを改善するために、取り外し式のマウスピース型矯正装置「インビザラインGO」をご提案しました。
インビザラインGOは、前歯のみを部分的に移動させることができる装置です。
全体的な矯正に比べて治療期間が短く、費用も抑えられることをご説明し、同意いただきました。
さらに、専用の薬剤で歯を漂白する「ホワイトニング」も行いました。
術後の経過・現在のご様子
歯が正しい位置に並び、黄ばみも改善され、美しい口元になりました。
患者様にも「歯並びも歯の色もきれいになって嬉しい。口元の意識が高まった」と大変ご満足いただきました。
現在は定期検診でご来院いただき、経過を観察しています。
この治療のリスクについて
・決められたアライナーの装着時間を守らないと、次のアライナーに交換できず、治療が遅れたり十分な効果が得られない場合があります。
・歯を抜いた後に矯正する場合や、あごの骨格に問題がある場合など、マウスピース矯正に対応していない症例は、治療が困難な可能性もあります。
・治療による歯の移動に伴って、痛みや違和感を感じる場合があります。
・他の矯正治療と同様に、正しく歯磨きやメンテナンスを行わないと虫歯や歯周病のリスクが高まります。
- 年齢・性別30代女性
- 診療種別自由診療
- 治療期間の目安3か月
治療費総額の目安400,000円
- 治療期間の目安3か月


※掲載された情報は治療の効果を保証するものではありません。
ご利用により万一何らかの損害が発生したとしても、当サイトは一切責任を負いかねますのでご了承ください。








