
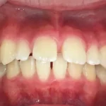
30代女性「前歯のガタガタと親知らずの角度が気になる」歯並びが乱れた「叢生」と大きく傾いた親知らずを、マウスピース型矯正装置「インビザラインフル」と歯科矯正用のネジ「アンカースクリュー」を併用して改善した症例


ご相談内容
「前歯のガタガタが気になる。左下の親知らずが傾いている」とご相談いただきました。
カウンセリング・診断結果
拝見したところ、歯が正常な位置からずれて生えている「叢生(そうせい)」が上下の前歯に認められました。
また、患者様は左下の奥歯(第2大臼歯/7番)が欠損しており、その奥の親知らず(第3大臼歯/8番)は傾いて生えている「傾斜歯(けいしゃし)」の状態で、噛み合わせも悪くなっていました。
行ったご提案・治療内容
取り外し式のマウスピース型矯正装置「インビザラインフル」と歯科矯正用の小さなネジ「アンカースクリュー(TAD)」を使用して歯並びを整える治療をご提案しました。
インビザラインフルとアンカースクリューを併用することで、傾いた親知らずを起こして噛み合わせの位置も改善できることをご説明し、同意いただきました。
治療の際はアンカースクリューをあごの骨に埋めて土台にし、親知らずの向きを変えながら全体の歯並びを整えていきました。
術後の経過・現在のご様子
全体の歯がまっすぐ並んで自然な口元になり、噛み合わせの位置も適切になりました。
患者様にも「気にしていた前歯と親知らずを両方とも改善できて嬉しい」と大変お喜びいただきました。
今後は、正常な角度になった左下の親知らずとその手前の奥歯を活用し、欠損した部位に橋渡しのように歯を補う「ブリッジ治療」を進めていく予定です。
この治療のリスクについて
・決められたアライナーの装着時間を守らないと、次のアライナーに交換できず、治療が遅れたり十分な効果が得られない場合があります。
・歯を抜いた後に矯正する場合や、あごの骨格に問題がある場合など、マウスピース矯正に対応していない症例は、治療が困難な可能性もあります。
・治療による歯の移動に伴って、痛みや違和感を感じる場合があります。
・他の矯正治療と同様に、正しく歯磨きやメンテナンスを行わないと虫歯や歯周病のリスクが高まります。
- 年齢・性別30代男性
- 診療種別自由診療
- 治療期間の目安2年5ヶ月
治療費総額の目安730,000円
- 治療期間の目安2年5ヶ月


※掲載された情報は治療の効果を保証するものではありません。
ご利用により万一何らかの損害が発生したとしても、当サイトは一切責任を負いかねますのでご了承ください。








