
40代男性「歯並びが気になる」全体の歯がデコボコに生えている「叢生」を、マウスピース型矯正装置「インビザラインフル」で治療し、自然な見た目と噛み合わせを実現した症例


ご相談内容
「歯並びが気になる」とご相談いただきました。
カウンセリング・診断結果
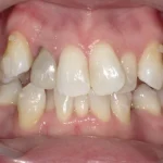
拝見したところ、歯が正常な位置からずれたり傾いたりしてデコボコに生えている「叢生(そうせい)」が上下の歯並びに認められました。
特に左下の奥歯(第1小臼歯/4番、第2小臼歯/5番)は大きく重なり合って生えており、全体の噛み合わせも悪くなっていました。
行ったご提案・治療内容
取り外し式のマウスピース型矯正装置「インビザラインフル」で全体の歯並びと噛み合わせを整える治療をご提案しました。
インビザラインフルを使用することで、大きくずれた左下奥歯もしっかり動かせることをご説明し、同意いただきました。
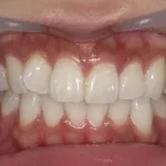
術後の経過・現在のご様子
歯がまっすぐ並んで自然な見た目になり、適切な位置でしっかりと噛めるようになりました。
患者様にも「とてもきれいな歯並びになり、人前でも気にせず過ごせるようになった」と大変ご満足いただきました。
現在も定期的なメンテナンスでご来院いただいております。
この治療のリスクについて
・決められたアライナーの装着時間を守らないと、次のアライナーに交換できず、治療が遅れたり十分な効果が得られない場合があります。
・歯を抜いた後に矯正する場合や、あごの骨格に問題がある場合など、マウスピース矯正に対応していない症例は、治療が困難な可能性もあります。
・治療による歯の移動に伴って、痛みや違和感を感じる場合があります。
・他の矯正治療と同様に、正しく歯磨きやメンテナンスを行わないと虫歯や歯周病のリスクが高まります。
- 年齢・性別40代男性
- 診療種別自由診療- 治療期間の目安2年3ヶ月
 治療費総額の目安790,000円
 
- 治療期間の目安2年3ヶ月


※掲載された情報は治療の効果を保証するものではありません。
ご利用により万一何らかの損害が発生したとしても、当サイトは一切責任を負いかねますのでご了承ください。




 
                         
                         
                         
                        



