
20代女性「歯の黄ばみが気になる」自宅で行う「ホームホワイトニング」と歯科医院で行う「オフィスホワイトニング」を併用し、明るい印象の口元にした症例


ご相談内容
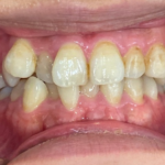
「歯の黄ばみが気になる」とご来院いただきました。
カウンセリング・診断結果
拝見したところ、全体の歯に黄ばみが見られました。
患者様は「海外の人はちゃんと歯並びや歯の色もきれいにしている。国によって意識が違って日本ではしている人が少ないから、歯の色や歯並びのケアをちゃんとしていたらほめられそう」とおっしゃっていました。
行ったご提案・治療内容
患者様と相談して一緒に決めた目標の歯の白さにするため、自宅で行う「ホームホワイトニング」と歯科医院で行う「オフィスホワイトニング」を併用した「デュアルホワイトニング」をご提案し、同意をいただきました。
オフィスホワイトニングでは、歯の表面に薬剤を塗って光を当て、歯を白くしました。
ホームホワイトニングは、患者様の歯型をとって作ったトレーにジェルを入れて歯に装着し、歯を白くしました。
術後の経過・現在のご様子
全体的に歯が白くなり、明るい印象の口元になりました。
患者様には「目標の色になって、白くなった実感がある」と大変喜んでいただけました。
また「今後のメンテナンスで更に白くしていきたい」と初回よりも高い目標もお持ちになり、現在も定期的にメンテナンスでご来院されています。
この治療のリスクについて
個人差がありますが、治療中や治療後に歯がしみる場合があります。
- 年齢・性別20代女性
- 診療種別自由診療- 治療期間の目安2ヶ月
- 《内訳》
- デュアルホワイトニング 98,000円
 
- 治療期間の目安2ヶ月
※掲載された情報は治療の効果を保証するものではありません。
ご利用により万一何らかの損害が発生したとしても、当サイトは一切責任を負いかねますのでご了承ください。




 
                         
                         
                         
                        



