
アタッチメント
インビザラインで矯正をしたい!と思っている方の中にはマウスピースだけを使用すればよいと考えている方もいるかと思いますが実際に矯正で使用するものはマウスピースだけではありません。今回はインビザライン矯正で歯に装着するもの・使用するものについてご紹介します。

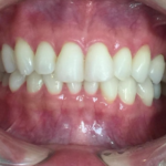
ひとつめはアタッチメントです。これは歯の表面に接着することでマウスピースが歯を移動させる際の動きを手助けをしてくれます。付与時に痛みはなく色も透明~白色のため目立ちにくいです。インビザライン矯正をしているほとんどの方が装着しています。
痛みがなく目立ちにくい一方で装着後は歯の表面に凹凸ができるため食べ残しや着色汚れが非常につきやすくなります。清潔な状態で矯正期間を過ごすためにもいつも以上に歯磨きを入念に行う必要があります。
またアタッチメントは歯の表面にくっついているものになるので力ずくでマウスピースを外したり、着脱の際に必要以上に力を加えると取れてしまいます。
アタッチメントそのものが歯を動かしているわけではないですが、矯正をスムーズに進めるためにも歯科医師や歯科衛生士の指示に従い優しく外すようにしましょう。


ゴムかけ
インビザライン矯正では必要に応じてゴムかけをおこない歯並びを整えていきます。
ゴムかけに必要なゴムは医院から提供されるので医師や衛生士からの指導のもと患者様ご自身でおこなっていただきます。小さなゴムを使用しておこなうため初めは手間取ることが多いのですが慣れればすぐに取り付けられるようになります。

ゴムかけが必要と判断されるとボタンを歯に装着します。
このボタンもアタッチメント同様、装着時に痛みはありませんが実際にゴムかけを行うと歯が引っ張られることになるためそれに伴い多少の痛みを感じる方もいます。
さらにボタンが頬の内側に当たることでボタンと頬の接触面に口内炎ができる場合があります。万が一口内炎ができてしまっても保護するお薬をお出ししますのでご安心ください。
矯正を検討中の方へ
矯正を進める中で初めて見るものや聞くことが多く矯正に対して心配になる方も多いと思います。当院では医師や衛生士からの指導はもちろん、事前のカウンセリングでどう扱うのか?・何をするのか?患者様への説明を徹底しています。不安なく矯正治療を進めていただける体制を整えていますのでお気軽にお問い合わせください。








