
40代女性「前歯が出ているのが気になる」歯がデコボコに生えている軽度の「叢生」で突き出た前歯を、マウスピース型矯正装置「インビザラインGO」で部分的に改善した症例


ご相談内容
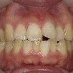
「前歯が出ているのが気になる」とご相談いただきました。
カウンセリング・診断結果
拝見したところ、歯並びが少しデコボコとしている軽度の「叢生(そうせい)」が上下の前歯に認められました。
特に上の前歯(左右中切歯/1番)はねじれて前方に突き出ており、噛み合わせも悪くなっていました。
奥歯の歯並びや位置関係は問題ありませんでした。
行ったご提案・治療内容
マウスピース型矯正装置「インビザラインGO」で、前歯の歯並びを部分的に改善する治療をご提案しました。
取り外し式のインビザラインGOは歯磨きがしやすく、治療中の虫歯のリスクも抑えることができることをご説明し、同意いただきました。
患者様が気にされている前歯の突き出し感をできるだけ改善できるよう、綿密に治療計画を立てて歯を動かしていきました。
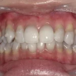
術後の経過・現在のご様子
前歯がまっすぐきれいに並び、しっかり噛めるようになりました。
患者様にも「口元を気にせず笑えるようになった」と大変お喜びいただきました。
安定した歯並びを維持できるよう、現在は定期検診でご来院いただき経過を拝見しています。
この治療のリスクについて
・決められたアライナーの装着時間を守らないと、次のアライナーに交換できず、治療が遅れたり十分な効果が得られない場合があります。
・歯を抜いた後に矯正する場合や、あごの骨格に問題がある場合など、マウスピース矯正に対応していない症例は、治療が困難な可能性もあります。
・治療による歯の移動に伴って、痛みや違和感を感じる場合があります。
・他の矯正治療と同様に、正しく歯磨きやメンテナンスを行わないと虫歯や歯周病のリスクが高まります。
- 年齢・性別40代女性
- 診療種別自由診療
- 治療期間の目安1年3か月
治療費総額の目安680,000円 - 【内訳】
- インビザラインGO 580,000円
- 検査代 30,000円
- 経過管理料 5,000円×14回
- 治療期間の目安1年3か月


※掲載された情報は治療の効果を保証するものではありません。
ご利用により万一何らかの損害が発生したとしても、当サイトは一切責任を負いかねますのでご了承ください。








