
20代女性「前歯のガタガタが気になる」重なり合って生えている歯並びを、マウスピース矯正装置「インビザラインフル」で歯を抜かずに美しく整えた症例


ご相談内容
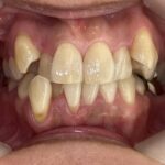
「前歯のガタガタが気になる」とご相談いただきました。
カウンセリング・診断結果
拝見したところ、歯並びが全体的にガタガタしている「叢生(そうせい)」で、噛み合わせも悪くなっていました。
歯が前後に重なり合って生えている部分は歯ブラシが届きにくいため、虫歯や歯周病のリスクも高まっており、将来的に歯の寿命が短くなる可能性がありました。
行ったご提案・治療内容
取り外し式のマウスピース矯正装置「インビザラインフル」で歯並びを改善する治療をご提案しました。
インビザラインフルで奥歯からしっかり動かすことで、歯を抜かずに治療できることを丁寧にご説明し、同意いただきました。
歯を動かす際は、歯並びの幅を拡大し、全ての歯がきれいに並ぶように治療計画を立てました。
術後の経過・現在のご様子
きれいに整った歯並びでしっかり噛めるようになり、笑顔も素敵になりました。
患者様にも「口元を気にせず過ごせるようになった」と大変お喜びいただきました。
現在は歯並びの後戻りを予防するための「保定装置」をご使用いただき、経過を拝見しています。
この治療のリスクについて
・決められたアライナーの装着時間を守らないと、次のアライナーに交換できず、治療が遅れたり十分な効果が得られない場合があります。
・歯を抜いた後に矯正する場合や、あごの骨格に問題がある場合など、マウスピース矯正に対応していない症例は、治療が困難な可能性もあります。
・治療による歯の移動に伴って、痛みや違和感を感じる場合があります。
・他の矯正治療と同様に、正しく歯磨きやメンテナンスを行わないと虫歯や歯周病のリスクが高まります。
- 年齢・性別20代女性
- 診療種別自由診療
- 治療期間の目安2年3か月
治療費総額の目安690,000円 - <内訳>
- インビザラインフル 580,000円
- 検査代 30,000円
- 経過管理料5,000円×10回
- 保定装置代 30,000円
- 治療期間の目安2年3か月


※掲載された情報は治療の効果を保証するものではありません。
ご利用により万一何らかの損害が発生したとしても、当サイトは一切責任を負いかねますのでご了承ください。








