
10代男性「下の前歯がでこぼこに生えている」取り外し式の装置であごを広げる「床矯正」により、歯を抜かずに歯並びを整えた症例


ご相談内容
「下の前歯が、永久歯に生え替わったときにでこぼこになってしまった」とご相談いただきました。
カウンセリング・診断結果
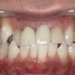
拝見したところ、歯が並ぶためのスペースが不足しており、下の前歯2本(左右中切歯/1番)が少しでこぼことした「叢生(そうせい)」になっていました。
患者様の歯並びは乳歯と永久歯が混在し、生え替わりの途中でした。
行ったご提案・治療内容
取り外し式の装置を用いてあごを広げ、歯が並ぶスペースを確保して歯並びを整える「床矯正(しょうきょうせい)」をご提案しました。
患者様の成長に合わせて少しずつ歯列の幅を広げることで、歯を抜かずに歯並びが整い、これから生えてくる永久歯も正しい方向に誘導できる可能性を丁寧にご説明し、同意いただきました。
装置は1日に一定時間必ず使用していただくようご指導し、永久歯が生えそろい歯並びが安定するまで経過観察を続けました。
術後の経過・現在のご様子
中学生になり、きれいなアーチを描いた理想的な歯並びになりました。
永久歯も全て生え替わり、正常な位置にきちんと並びました。
患者様にも「歯を抜かずに治療できて嬉しい」と非常にご満足いただいています。
この治療のリスクについて
・ 決められたスケジュールを守らないと、十分な効果が得られない場合があります
・マウスピースでは対応していない症例の場合、治療が困難な可能性もあります
・治療による歯の移動に伴って、痛みや違和感を感じる場合があります
・他の矯正治療と同様に、正しく歯磨きやメンテナンスを行わないと虫歯や歯周病のリスクが高まります
- 年齢・性別 10代男の子
- 診療種別自由診療
- 治療期間の目安6年
治療費総額の目安244,000円 - 【内訳】
- 検査代30,000円
- 床矯正装置代150,000円
- 経過管理料2,000円×32回
- 治療期間の目安6年
※掲載された情報は治療の効果を保証するものではありません。
ご利用により万一何らかの損害が発生したとしても、当サイトは一切責任を負いかねますのでご了承ください。










