
50代女性「歯の黄ばみが気になっている」自宅でできる「ホームホワイトニング」と歯科医院で行う「オフィスホワイトニング」を併用し、歯を白くした症例


ご相談内容
「長い間、歯の黄ばみが気になっているので白くしてほしい」とご相談をいただきました。
カウンセリング・診断結果
拝見したところ、全体的に歯の黄ばみが見られました。
行ったご提案・治療内容
ご自宅で専用のマウスピースとジェルを使用し行っていただく「ホームホワイトニング」と、歯科医院で薬剤を使用して歯を白くする「オフィスホワイトニング」を併用する治療をご提案しました。
ホームホワイトニングは歯の白さを長持ちさせるメリットがありますが、効果を実感するまでに2週間〜1ヶ月程度かかるため、即効性のあるオフィスホワイトニングを併用するプランを丁寧にご説明したところ、「早く効果を実感したい」と同意していただきました。
術後の経過・現在のご様子
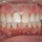
歯の白さが、上の歯は15段階、下の歯は16段階明るくなり、人からきれいと言われる美しさになりました。
患者様にも「あんなに黄ばんでいた歯が見事に白くなり感動した。ホワイトニングをやって本当に良かった」 と大変ご満足いただきました。
現在は歯の白さを維持するため専用の歯磨き剤を使用していただき、定期的なクリーニングでご来院いただいております。
この治療のリスクについて
個人差がありますが、治療中や治療後に歯がしみる場合があります。
- 年齢・性別50代女性
- 診療種別自由診療
- 治療期間の目安6ヶ月
治療費総額の目安98,000円
- 治療期間の目安6ヶ月
※掲載された情報は治療の効果を保証するものではありません。
ご利用により万一何らかの損害が発生したとしても、当サイトは一切責任を負いかねますのでご了承ください。








