
10代女性「前歯のガタガタが気になって人前で笑えない」あごの成長に配慮して、歯を抜かずにマウスピース矯正で歯並びを整えた症例


ご相談内容
「前歯の歯並びがガタガタで、気になって人前で口を大きく開けて笑えない」とご相談いただきました。
カウンセリング・診断結果
拝見したところ、上下の奥歯の歯並びは正常でしたが、前歯は歯の本数に対してスペースが足りておらず、ガタガタに生えてしまう「叢生(そうせい)」でした。
歯並びが悪い歯が多かったため、一般的にはスペースを確保するために歯を抜く必要があるケースでしたが、患者様は「歯を抜きたくない」とご希望でした。
行ったご提案・治療内容
患者様のご希望に沿い、抜歯はせず、奥歯を後ろへ移動させて前歯がきちんと並ぶためのスペースを確保する治療方法をご提案しました。
矯正装置は、マウスピースの製作が無制限で、2週間に1度新しいマウスピースに交換でき、歯並びを長期的にしっかり整えられる「インビザラインフル」を使用しました。
患者様は未成年だったため、今後の体や骨格の成長も加味しながら、歯の移動位置などを慎重に設計してマウスピースを製作しました。
術後の経過・現在のご様子
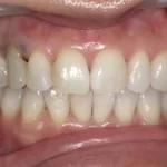
歯並びが整った現在は前歯がまっすぐきれいに並び、美しい歯並びになりました。
患者様にも「自信をもって笑えるようになり、人前で話すことも抵抗がなくなった」と喜んでいただけています。
この治療のリスクについて
・決められたアライナーの装着時間を守らないと、次のアライナーに交換できず、治療が遅れたり十分な効果が得られない場合があります。
・歯を抜いた後に矯正する場合や、あごの骨格に問題がある場合など、マウスピース矯正に対応していない症例は、治療が困難な可能性もあります。
・治療による歯の移動に伴って、痛みや違和感を感じる場合があります。
・他の矯正治療と同様に、正しく歯磨きやメンテナンスを行わないと虫歯や歯周病のリスクが高まります。
- 年齢・性別10代女性
- 診療種別自由診療
- 治療期間の目安2年
治療費総額の目安675,000円
<内訳>
インビザライン治療費580,000円
検査代30,000円
矯正経過管理料5,000円×13回


※掲載された情報は治療の効果を保証するものではありません。
ご利用により万一何らかの損害が発生したとしても、当サイトは一切責任を負いかねますのでご了承ください。








